Produkte für Krankenhäuser und klinische Einrichtungen

TM-PACS

TM-PACS ermöglicht die Komprimierung, Sicherung, Speicherung und Anzeige von radiologischen Bildern mit  Betrachtung- und Visualiserungswerkzeugen (Zoom, Lupe, Annotation, Entfernungsmessung, Messdatenverfolgung usw.). Der Benutzer kann auch Koronarangiographie-Bilder, nuklearmedizinische PET-Bilder und klassischere Bilder (MRI, CT, Ultraschall usw.) anzeigen. Mit Hilfe von Labels, die mit den Studien verknüpft sind, können Studien gruppiert und mit einem einzigen Klick aufgerufen werden. Mit personalisierten Suchfunktionen kann die Krankenakte oder die gewünschte Studie sehr schnell gefunden werden. Die Ansicht ist für die Anzeige auf mehreren Bildschirmen optimiert. Die Integration mit der RIS- und PACS-Software, die auf den gleichen Befundworkstations installiert sind, wurde ebenfalls berücksichtigt. 

TM-MACS

Das MACS (Multimedia Archiving and Communication System) hat zum Ziel, den Trend zur Digitalisierung in den klinischen Abteilungen und Aktivitäten zu unterstützen. Die Multimedia-Lösung erstreckt sich auf alle klinischen Abteilungen (Augenheilkunde, Dermatologie, Kardiologie, OP-Saal, Notaufnahme, anatomische Pathologie usw.). Telemis berücksichtigt alle Bildformate, sowohl DICOM-Bilder als auch andere Bildformate. Die Kliniker können auf die Bilder und Videos aus den Patientenakten zugreifen, sie anzeigen und diagnostisch untersuchen. Analyse- und Ansichtswerkzeuge (Zoom, Lupe, Anmerkungen, Entfernungsmessung usw.) sind für eine verbesserte Diagnostik verfügbar. Durch die Verwendung von Beschriftungen können Studien gruppiert und mit einem einfachen Klick aufgerufen werden. Mit personalisierten Suchfunktionen kann die Krankenakte oder die gewünschte Studie sehr schnell aufgefunden werden.

TM-Mammo

Die Lösung TM-Mammo wurde speziell als Antwort auf die Anforderungen an die Speicherung, Verteilung und Diagnose der gesamten digitalen Mammografiebilder entwickelt, die im Rahmen der Brustheilkunde aufgenommen werden. Der Viewer TM-Mammo ermöglicht den einfachen Vergleich mit mehreren Bildern (aller Arten und Modalitäten) aus der Krankengeschichte der Patientin und die Anzeige von benutzerdefinierten Ansichtssequenzen. Die Tomosynthese ist integraler Bestandteil der Ansichtssequenzen.

TM-Capture

Mit der Option TM-Capture können Sie Fotos mit einem einfachen Smartphone aufnehmen und an das MACS senden. Diese Bilder können ganz unterschiedlich sein: Aufnahmen von Wunden, Dekubitus, Chirurgie, OP-Saal, Notaufnahme, Makroskopien usw. Das TM-Capture ist besonders ergonomisch durch die Möglichkeit, Ferndiagnosen im Rahmen der häuslichen Pflege anzufordern. Ärzte können sich damit anhand von Fotos, die in der Ambulanz aufgenommen wurden, vorbereiten. Diese Lösung kann außerdem im Rahmen der medizinisch-rechtlichen Haftung von Chirurgen oder Notärzten nützlich sein, weil sie visuelles digitales Beweismaterial liefert.

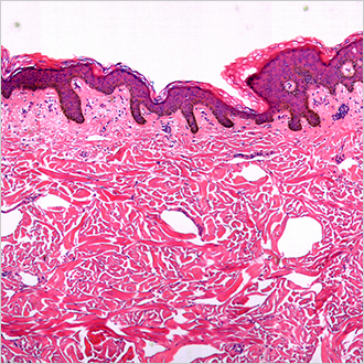
TM-Microscopy

Diese Lösung ermöglicht eine optimierte Verbreitung und den optimierten Zugang zu anatomisch-pathologischen Bildern durch die Erfassung, Speicherung und Bereitstellung von Bildern im TM-Microscopy-Viewer. Sie ermöglicht eine hohe Diagnostikqualität durch die präzisere Labordiagnostik und den verbesserten Austausch zwischen Pathologen. Weiterlesen? 

TM-Publisher Web

Informationen müssen überall verfügbar sein, unabhängig vom Aufenthaltsort der Person. Das Gleiche gilt für die Bilddiagnostik: Die Untersuchung des Patienten ist durchgeführt worden, und der behandelnde Arzt muss die Ergebnisse ohne Verzögerung sehen können, unabhängig davon, ob er sich im Krankenhaus oder in einer Praxis ausserhalb des Krankenhauses befindet. Genau dies ist die Philosophie von TM-Publisher Web: den Zugang zu Bildern von jedem an das Internet angeschlossenen Computer aus zu ermöglichen und gleichzeitig die Vertraulichkeit der Patientendaten zu gewährleisten.

TM-Community

TM-Community ist eine cloudbasierte Lösung, mit der Krankenhaus-Sites medizinische Dateien miteinander austauschen können. Es können Dokumente in allen Formaten (PDF, DICOM, JPEG usw.) ausgetauscht werden, und sie sind dabei geschützt und nachverfolgbar. Diese Lösung macht es unter anderem möglich, eine zweite Diagnosemeinung anzufordern, eine Datei an ein Spezialzentrum zu senden oder Bilder täglich an ein Überweisungszentrum zu senden.

Hyper.TELEMED

Unsere Hyper.TELEMED-Lösung ist ein sicheres Punkt-zu-Punkt-Telemedizinsystem, das die sichere Übertragung von Patientendaten in Übereinstimmung mit den Datenschutzvorschriften ermöglicht. 

Der Benutzer kann Daten und Bilder im DICOM- und HL7-Format über ein beliebiges Netzwerk (DSL, VPN, LAN, E-Mail, HTTPS usw.) mithilfe von Standardschnittstellen übertragen. Auch die Übermittlung von Fotos oder Nicht-DICOM-Daten wie PDF, TIF, GIF, MPE über DICOM ist damit möglich.

Hyper.PACS

HyperPACS ist ein Universal-PACS für alle medizinischen Bilder, sowohl DICOM als auch Nicht-DICOM. Es basiert auf drei Hauptsäulen: Tempo, Stabilität und Sicherheit.
Hyper.PACS ermöglicht den schnellen Datenzugriff und hundertprozentige Datensicherheit. Die Schnittstelle wurde in Zusammenarbeit mit Benutzern so entwickelt, dass es auf intuitive Weise Diagnose, Visualisierung und Telemedizin ermöglicht.
Der Workflow ist mit Hanging Protocols, Verlaufsanzeige und Sitzungsparken optimiert. Zusätzliche Module wie orthopädische Planung und der Bilderaustausch für die Telemedizin sind verfügbar.